MENU
〒223-0056
神奈川県 横浜市港北区
新吉田町 3167
045-577-3988

COLUMN
コラム

2025.11.17

猫の横隔膜ヘルニア

こんにちは、横浜市港北区新羽にある『港北にっぱ動物病院』です!
今回は当院で手術を行いました“横隔膜ヘルニア”についてお話したいと思います。

横隔膜ヘルニアって?

横隔膜とは胸部と腹部の境目にある筋肉の膜で、先天性や外傷など様々な原因でこの横隔膜に穴や裂け目ができてしまい、腹部の臓器が胸の中に入り込んでしまう状態を【横隔膜ヘルニア】と呼びます。
胸腔内に腹腔内臓器が入り込むことで肺が圧迫され様々な症状を引き起こします。

横隔膜が鮮明かつ肺がクリア
横隔膜が不鮮明かつ胸腔に腹腔内臓器が入り込んでいる

原因は?

横隔膜ヘルニアにも大きく2つに分けられ【先天性】もしくは【後天性】に分けられ、それぞれ原因も異なります。

【後天性】:主な原因は外傷など

外傷性横隔膜ヘルニア
多くは交通事故や高所からの転落など強い外傷により横隔膜が損傷することが原因と言われており、特に多いのが交通事故と言われています。
大きな衝撃が体に加わることで横隔膜が損傷し、腹腔内臓器が胸腔内に入り込むことで発症します。

【先天性】:主な原因は生まれつき未発達など
食道裂孔ヘルニア
横隔膜には食道が通る穴が開いており、その穴が生まれつき緩い事で胃の一部が胸腔内に入り込み胸を圧迫してしまう病態です。
腹膜心膜横隔膜ヘルニア
生まれつきながら心臓を包む膜と腹腔がつながってしまっており心膜の中に腹腔内臓器が入り込み心臓を圧迫してしまう病態です。

症状は?

ヘルニアの程度や入り込んでいる臓器にもよって症状は異なります。

・呼吸困難
・運動するとすぐにバテる
・不整脈
・食欲不振
・嘔吐
・腹痛 など

状態が進行するとショック状態になる場合もありますが、無症状で経過することもあります。
(ショック状態とは血液循環がうまくいかなくなり全身の重要な臓器へ酸素供給が出来ず命に関わる危険な状態のこと)

診断方法

レントゲンや超音波を用いて臓器の損傷具合や正しい位置からのずれはないかを確認します。
状況によっては血液検査で全身状態を確認しつつ必要な検査を行います。

治療方法

横隔膜ヘルニアの治療は主に【外科手術】となります。胸腔内に入り込んでしまった臓器を正しい位置に戻し、欠損した部分の横隔膜を縫い合わせる手術です。ですが、状態によってはすぐに手術ができないこともあるため、ICU管理(集中治療室)や点滴など必要な処置をしつつ全身状態が落ち着いてから治療を行う場合もあります。                            (無症状の場合は手術を行わず経過観察を選択することもあります。)

---------------------------------------

0才6か月 リンゴちゃん オス

去勢手術をするため術前検査を行ったところレントゲンに異常が見られました。

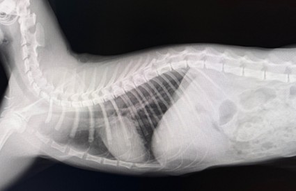
胸腔に胃が入り込んでいるのを確認



胸腔内に胃が入り込んでしまっているのが分かります。
食道裂孔ヘルニアと診断がついたので無症状との事でしたが飼い主様としっかりと話をしたうえで去勢手術で麻酔をかけるなら一緒に手術をする流れになりました。急変や死亡リスクの高い症例の手術の際は外科専門アドバイザーの先生と共に執刀します。

開腹をして、しっかりとヘルニアの部分を確認し、臓器に異常がないか確認しつつを正しい位置に戻し穴を縫合します。
その後は開腹部も縫合し、終了です。                                           翌日に確認のレントゲンを撮り再発がないか確認したのが下の写真です。綺麗に胃が腹腔内に収まっているのが分かります。

術後1日目
入院中のリンゴちゃん 

その後は合併症など引き起こさないか、傷口や体調に変化がないか確認も含め1週間の入院になります。リンゴちゃんは術後体調に問題はなく無事1週間後に退院しました!

そして退院して1週間後に抜糸後の写真です!しっかりと綺麗にくっついてるのが分かります。

レントゲンも再発ありませんでした!

治療後


術後も数日から1週間程度は入院管理になり傷口の確認や呼吸の様子など含めた全身状態の確認をしつつ、点滴や投薬などの治療も並行して行い、状態が落ち着いていることを確認してからの退院となります。
退院後は定期的にレントゲンや超音波で異常がないかを確認をしていきます。

最後に・・・

先天性や後天性と原因に違いはありますが、重症化すると命に関わる病態です。避妊去勢手術の術前検査で偶発的に見つかることもあります。特に高所落下後に体調が呼吸がおかしいなど見受けられたら早めの受診をお勧めします。また、無症状だった場合は発見までに時間がかかることもあるため、健康診断などの機会に胸部のレントゲンを撮って確認をするものいいかもしれません🌸
健康診断は血液検査だけでなく、画像検査も加えてみてくださいね!
当院では画像診断付き健康診断も実施中です。ぜひご相談ください。